Wednesday, October 15th, 2025
If you are living in Canada and facing dental issues that could require a root canal, it’s natural to have questions about what to expect before, during, and after the procedure. Root canals are a standard treatment designed to save teeth that are severely decayed or infected. While the idea may sound intimidating, understanding the process can help you feel more prepared and confident. This blog will guide you through the entire experience, including the procedure, recovery, and long-term outcomes.
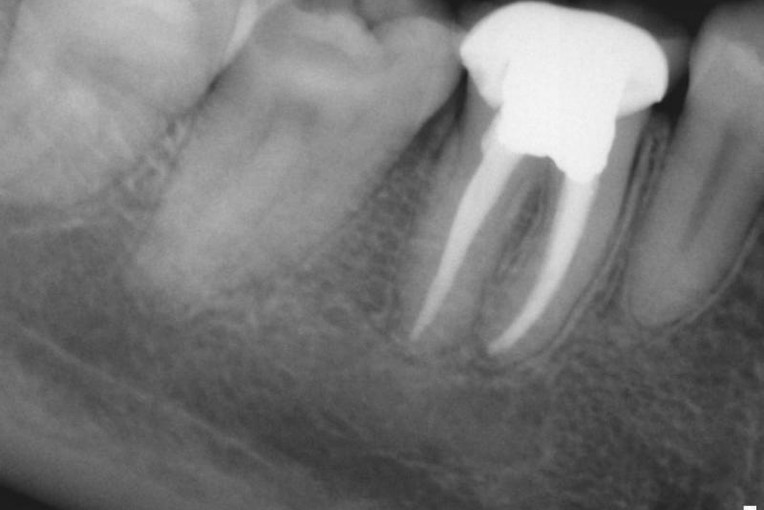
A root canal is a dental procedure that removes infected or damaged pulp from inside a tooth. The pulp contains nerves and blood vessels, and when it becomes infected, it can cause severe pain, swelling, and even lead to the formation of abscesses. Root canal therapy helps eliminate the infection, protect the tooth from further damage, and relieve discomfort.
Before your root canal, your dentist will assess your dental health and take X-rays to determine the extent of the infection. It’s common to experience some anxiety about the procedure, but modern dentistry has made root canals much more comfortable than in the past. Your dentist may discuss options for sedation or local anesthesia to ensure a pain-free experience.

It’s essential to avoid consuming anything heavy before the procedure if sedation is planned, and be sure to inform your dentist about any medications or medical conditions you may have. Preparing mentally and physically can make the entire process smoother and reduce post-treatment discomfort.
Understanding the step-by-step procedure can help reduce anxiety and give you a clear idea of what to expect:
After a root canal, it is common to experience some mild discomfort or sensitivity for a few days. Over-the-counter pain relievers recommended by your dentist usually manage this effectively. Maintaining good oral hygiene, including brushing and flossing, is essential to prevent further infection.
Avoid chewing hard foods on the treated tooth until it is fully restored with a permanent filling or crown. Soft foods and a gentle oral care routine can help your tooth heal properly.
Many people wonder if they can resume physical activity after a root canal. Light activities, such as walking or gentle stretching, are generally safe on the same day, but it’s recommended to avoid strenuous exercise for at least 24 hours. Intense workouts can increase blood flow and potentially worsen swelling or discomfort in the treated area. Always follow your dentist’s instructions and listen to your body during the recovery process.
With proper care, a root canal-treated tooth with a crown can last for many years, often 10 to 15 years or even longer. The crown protects the tooth from fractures and further decay, ensuring its longevity. Regular dental check-ups, good oral hygiene, and avoiding habits like chewing ice or hard candies can help maintain the strength and function of the restored tooth.
After a successful root canal treatment, many patients experience a significant reduction in pain and sensitivity. The treated tooth is preserved, allowing you to maintain your natural smile and bite function. While the initial procedure may cause temporary discomfort, the long-term benefits of a healthy, infection-free tooth outweigh the short-term inconvenience.

Before the procedure, you may experience pain, swelling, or sensitivity in the affected tooth. After the treatment, these symptoms usually subside within a few days, leaving you with a stronger and healthier tooth. Crowns or permanent fillings help restore both the appearance and function of your teeth, giving you confidence in your smile.
Root canal recovery varies from person to person, but following these tips can make the process quicker and more comfortable.
Understanding what to expect before and after a root canal can make the experience much less stressful. The procedure is safe, effective, and essential for saving teeth that might otherwise require extraction. With proper care and a protective crown, your restored tooth can function normally for many years, allowing you to enjoy a healthy smile.
If you are in Canada and need a root canal or would like to learn more about your options, our experienced dental team is here to guide you through every step. Book your appointment with us today and take the first step towards a healthy and confident smile.
EXCELLENT Based on 407 reviews Posted on Ghazale TamiziTrustindex verifies that the original source of the review is Google. I have started coming to this clinic since October, I had the worst experience with the other clinic I was going to. When I called for the first time I told the lady I had a broken tooth, I had a vacation booked for the week after and I’m not happy with my clinic. Priya was able to book me with Dr Shima on the same day, and started the treatment right away. I’m very happy with the service and Dr shima and all the friends desk staff are so friendly! I am glad to say I was able to fix the broken tooth. And almost done with the overall treatment of my teeth. Munira and all the dental assistants were so friendly and made sure I was ok during the treatments will definitely recommend 10/10Posted on Henry EdTrustindex verifies that the original source of the review is Google. I had a fantastic experience with Marina, the dental assistant. She conducted a detailed scan of my teeth for a night guard and explained everything thoroughly. She’s incredibly knowledgeable, friendly, and patient, and she also explained why I need a night guard and the importance of regular cleanings. Although she won’t be performing the cleaning herself, she made a great recommendation for it. Overall, I’m really appreciative of her assistance!Posted on EunTrustindex verifies that the original source of the review is Google. The whole staff is amazing and friendly! Both Dr. Taleb and Dr. Milani are great at what they do. They explain and show you what is necessary and don’t push for things that are unnecessary.Posted on Stephanie VictorTrustindex verifies that the original source of the review is Google. I had an amazing experience at Brookmere Dental. Dr. Milani and his entire staff were incredibly kind, patient, and helpful. They saw me and scheduled my extraction just days later. I’m truly grateful for how efficiently everything was handled and for the high standard of care I received.Posted on Paolo PatacchiniTrustindex verifies that the original source of the review is Google. Fantastic experience from start to finish! I went in to have a few cavities treated and couldn’t be happier with the care I received. Dr. Milani and his assistant Marina were incredibly kind, professional, and made me feel completely at ease. They explained everything clearly, used the latest technology, and even took photos before, during, and after the treatment, no surprises at all. The entire team, from the front desk to the treatment room, was welcoming and efficient. Highly recommend this clinic to anyone in the Lougheed Mall area of Coquitlam!Posted on Josseline FloresTrustindex verifies that the original source of the review is Google. Great service and good customer service, everyone is willing to help.Posted on diman aziziTrustindex verifies that the original source of the review is Google. I had a great experience with Dr. Kurosh Milani and his assistant Marina. Dr. Milani is very professional and knowledgeable, and he always listens carefully to every concern and clearly explains all the available ways to address them. Marina was incredibly kind and supportive. Both take the time to explain everything clearly, which made me feel comfortable and confident throughout my visit. Their teamwork created a calm and positive environment.Posted on Maryam GolestanTrustindex verifies that the original source of the review is Google. Every time I visit Brookmere Dental, I am truly amazed by the level of care and professionalism from the entire team. From the friendly front desk staff to hygienist Jen, Dr. Milani and Dr. Shima, everyone is highly professional and attentive. Everyone makes you feel comfortable and well taken care of. I highly recommend this dental office to anyone seeking excellent dental care.Posted on niloofar hedayatiTrustindex verifies that the original source of the review is Google. I’ve been here many times, and everything is great. Very kind and patient staff, clean environment, and the perfect dentist. Definitely recommended.Posted on DianaTrustindex verifies that the original source of the review is Google. Thorough dental cleaning. The hygienist was gentle, explained each step clearly, and made the whole visit comfortable. Teeth feel noticeably cleaner after the appointment.
